Essex Retainers
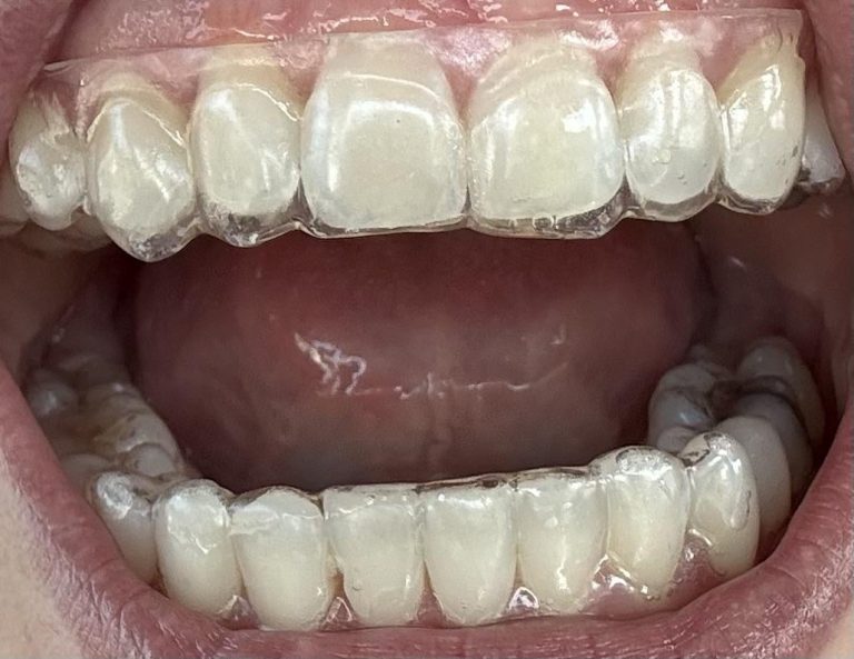
Essex retainers are clear, nearly invisible, removable appliances designed to keep your teeth in their new/corrected position after orthodontic treatment. Retainers provide a comfortable and discreet way to maintain the alignment of all teeth. They are custom-made for all, to ensure a secure fit.
Essex retainers are also widely popular among the majority of patients as they are less noticeable, which many find appealing.
Contact us
When filling out the form below, please ensure to select the service you are enquiring about.








